I blogged last week about the aesthetic study in the practice and perhaps somewhat unfairly was critical about it.
I discussed it again in the practice last week with some of the guys involved and think I was perhaps being a bit harsh on my myself (and therefore on others by default)
The difficulty with aesthetic implant cases is that the patients themselves bring risks which cannot be altered or changed. When you risk assess a patient correctly you can understand and modify their expectations accordingly but when you reach a situation where you expect all your cases to turn out amazing then both you and the patient will be disappointed and it's time to return back to your protocol and procedure for assessing patients in the first place.
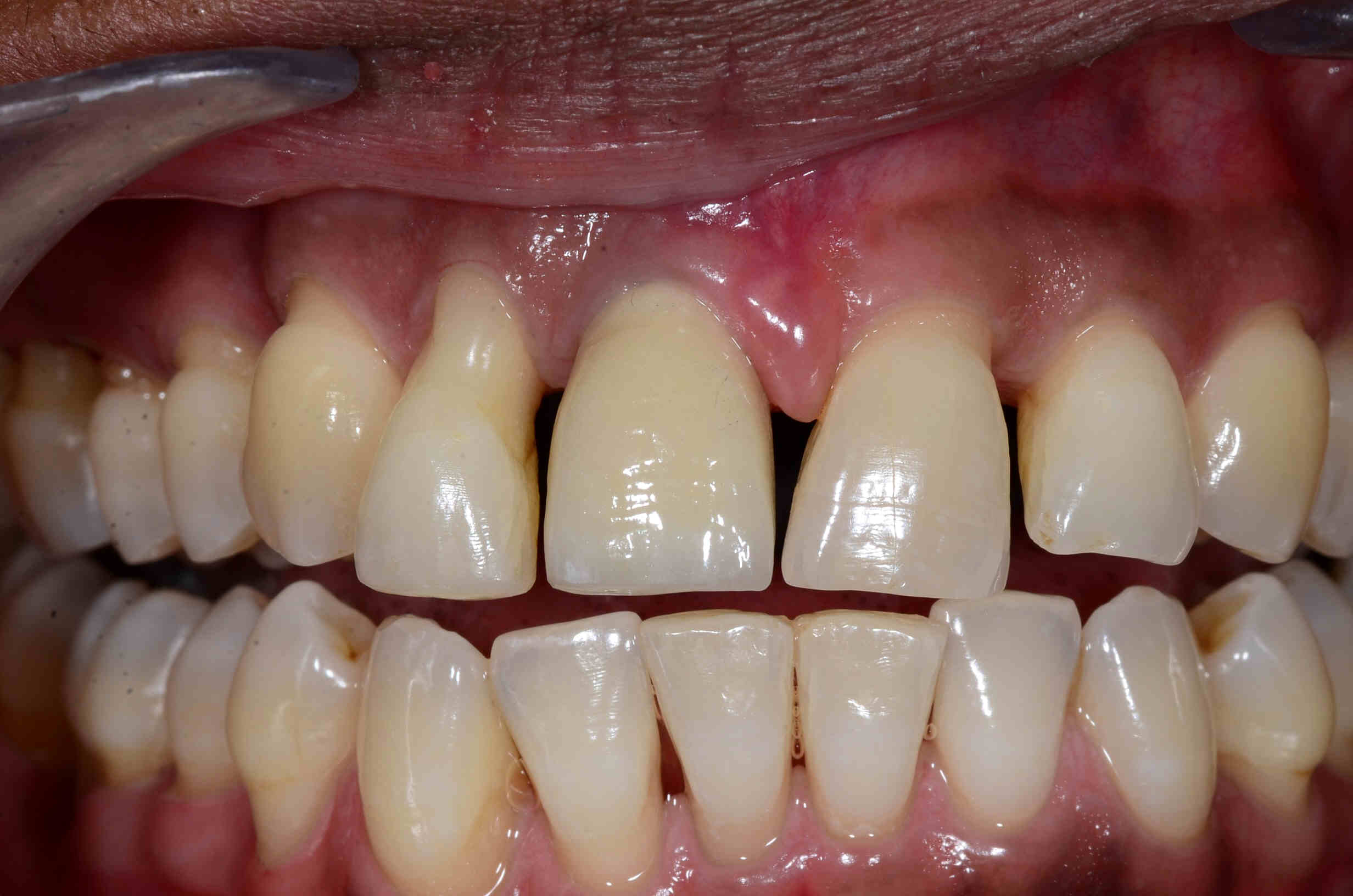
The pictures in this show two entirely different outcomes; case one (below) is a conventional case in a very difficult perio patient with considerable vertical bone loss using standard lab ceramics which required an anterior GBR procedure.
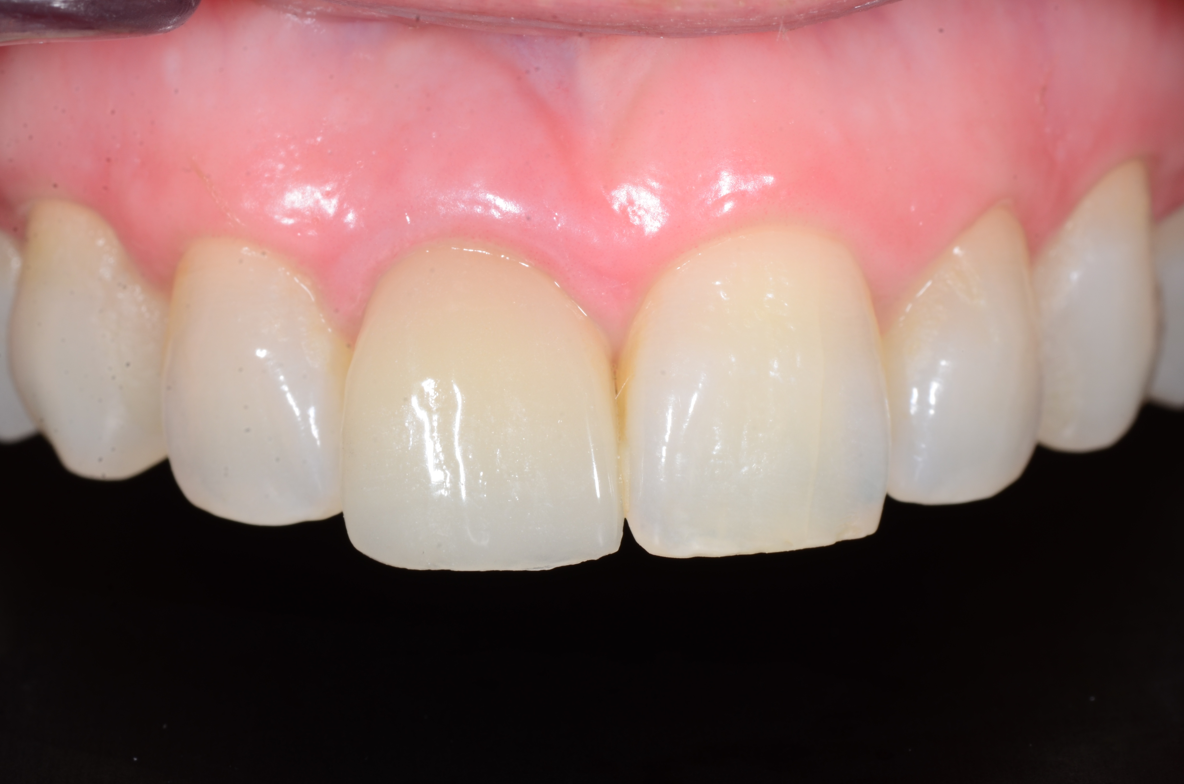
Case two (below) is a trauma case where no GBR was required, ideal implant placement could be achieved in an easy fashion and it was ultimately restored using a same day CEREC restoration.
The results of both are actually exceptional. It's the starting points that are different. Perhaps for myself I made a point in the past of thinking that I should be able to work wonders on every single case which walks through the door but the old adage about making a silk purse from a sow's ear is probably true. It's important to explain to patients about the difficulties that they bring with them prior to surgery which include:
1. Horizontal bone loss.
2. Vertical bone loss (particularly bad).
3. Smoking.
4. Poor oral hygiene.
5. The state of the adjacent teeth.
6. The motivation to look after things.
All of these things play a factor and if they're not adhered to we can take no responsibility for the outcome.
Blog Post Number: 1012






Leave a comment