<img height="1" width="1" style="display:none" src="https://www.facebook.com/tr?id=947635702038146&amp;ev=PageView&amp;noscript=1">

The Year Implant Course

course-img_small.jpg
Find Out More
When
On-Demand: 12 weeks to complete at your own pace
Venue
Online
CPD
4 Hours
Cost
£950 Inc. VAT
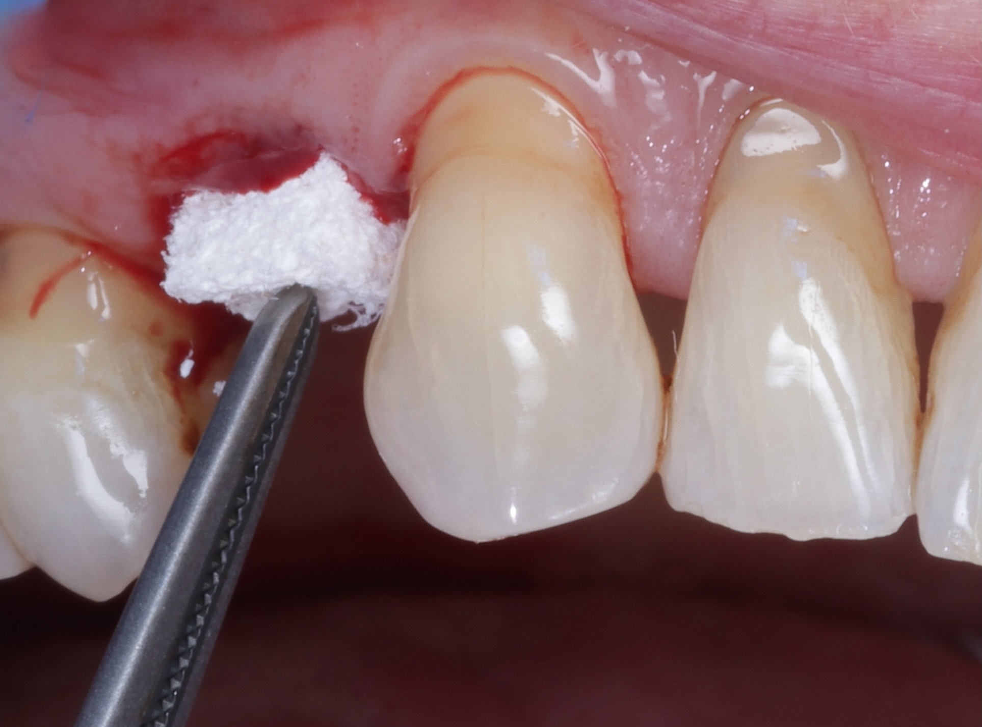
Clinical photo of Ridge Preservation

Course Outline

This programme is designed to equip dental professionals with a comprehensive understanding of ridge preservation and atraumatic tooth extraction, alongside the practical skills needed to apply these techniques in everyday practice.

By the end of the course, you'll have a clear insight into when ridge preservation is indicated, how to select appropriate cases, and the steps involved in delivering the procedure effectively. You’ll also explore the principles of atraumatic extraction — including technique, instrument selection, healing biology, and post-operative care.

We’ve created this On-Demand & Self-Paced Online Course to help you advance your clinical skills on your own terms. With immediate access to all learning materials upon enrolment, you can work through the content at a pace that suits your schedule. Whether you’re managing a busy clinic or balancing personal commitments, this course is designed to fit around you.

Modules

Module 1: Welcome to the Atraumatic Tooth Extraction and Alveolar Ridge Preservation course

  • Lesson 1: Overview of the Course.
  • Lesson 2: Why Ridge Preservation Treatment.

Module 2: Atraumatic Tooth Extraction

  • Lesson 1: The importance of Atraumatic tooth extraction.
  • Lesson 2: Atraumatic tooth extraction techniques.
  • Lesson 3: Case examples for atraumatic tooth extractions.
  • Lesson 4: Overcoming tooth extraction Fears.

Module 3: Ridge Preservation Treatment

  • Lesson 1: When and why to do a Ridge Preservation.
  • Lesson 2: Material Selection.
  • Lesson 3: How to do Ridge Preservation.
  • Lesson 4: How to price Ridge Preservation.

Module 4: Postoperative Instructions

  • Lesson 1: Postoperative Instructions.
  • Lesson 2: Healing timelines and expectations.

Module 5: Re-Entry Stage

  • Lesson 1: How long does a ridge preservation site need to heal? How quickly/late can we re-enter, and what do we find?

  • Clinical Case analysis: Re-entry after 5 months of healing.
  • Clinical Case analysis: Re-entry after ortho and 2 years of healing.
  • Clinical Case analysis: Re-entry after 6 months of healing.

  • HANDS-ON PRACTICAL!

Learning Resources Included

icon-handson
Hands-On Practical with Faculty Feedback
Receive physical materials delivered to your door for guided exercises using a model, plus personalised feedback from our expert faculty.
icon-clinical

Several Clinical Videos in Real Cases
To analyse the procedure in different scenarios.

icon-video
Instructional Videos
Watch step-by-step demonstrations of key techniques in ridge preservation and atraumatic extraction.
icon-lecture
Pre-Recorded Lectures
Access high-quality theoretical content anytime, anywhere.
icon-peers
Peer Group Discussions
Join moderated forums to exchange ideas, ask questions, and connect with fellow professionals.

Materials Provided by The Campbell Academy


We’ll supply you with all the instruments and materials needed to support your hands-on learning. These practical resources are designed to enhance your understanding and provide real clinical insight as you work through each module.

For the ridge preservation exercise on the socket model, you’ll receive:

  • 1 x Bio-Oss® Collagen (100mg)

  • 1 x Mucograft® Seal (8mm, anterior socket)

  • Sutures: Prolene 6/0, 11mm needle (reverse cutting)

  • 1 x Socket model

All materials will be packaged and delivered directly to your door.

Want to be the first to know when enrolment opens?

Learn more from Beatriz

In this comprehensive course, delegates will delve into the intricacies of ridge preservation and atraumatic tooth extraction, gaining invaluable insights and practical skills to enhance their dental practice.

Speakers

Beatriz Sanchez-Iñigo
Dental Surgeon
Beatriz Sanchez-Iñigo
Dental Surgeon
 
BDS Lic. Odon (Barcelona) MSc Implant Dentistry

GDC No: 190407

Beatriz began her studies at Barcelona University (Spain) and soon developed a special interest in Oral Surgery. She completed a postgraduate course in the field, focusing on removing impacted wisdom teeth.

After moving to England in 2010, Beatriz enrolled in her first formal postgraduate Implant course at the UCL Eastman Dental Institute (PG Dip), London. Once she finished, she wanted to continue studying and gaining experience, which led to her joining the University of Central Lancashire MSc, which she completed in 2017.

She has been placing implants since 2015 and now dedicates two days a week exclusively to dental implants, placing around 100 yearly. She feels confident in different scenarios and provides straightforward, advanced, and complex implant surgery, including extensive grafting cases, multiple implant placement, and all aspects of minor oral surgery. She is experienced in digital workflow and uses CBCT as the gold standard for case planning.

Beatriz has been involved in different formative programmes as a student, meaning she is aware of the learners’ necessities and can listen very closely to the students’ views. She has also been involved in teaching and lecturing at different levels, both in practical and theoretical fields, from being an assistant teacher at the University of Barcelona to being awarded at national-level congresses. 

She has been part of The Campbell Academy faculty since 2016 and is heavily involved in teaching, mentoring, and developing programme content. 

Apart from dentistry, Beatriz enjoys travelling and cooking and is always ready to talk about them! Her young family keeps her busy outside of work.

Catherine, Dentist

I really enjoyed the recent Ridge Preservation course with Beatrice. The presentation was excellent and the two hands on practicals very useful in understanding the technique. Beatrice is clearly passionate about this treatment and this shows in her results and the cases she shared throughout the course.
The Campbell Academy always look after you so well. I am just coming to the end of the Year One Implant course and feel confident now to offer this as a treatment option to patients as well as placing and restoring implants.
Thank you for another great learning opportunity.

Bhupinder, Dentist

Genuinely one of the best dental course providers out there. I did the Business Entrepreneurial course last year and just done the Ridge Preservation course last week. Amazing stuff. Changed by thinking for the better. Best of all is the friendly, approachable and inspiring team at the Campbell Academy. That's what makes them so special as course providers.

Want to learn more about Atraumatic Extraction and Ridge Preservation at you're own pace?